Blogブログ
施術・治療眼瞼下垂治療
眼瞼下垂について
眼瞼下垂とは、まぶたを開ける筋肉(眼瞼挙筋)の作用が弱くなり、まぶたが下がり眼の瞳孔(黒目)にかぶさる状態を言います。
眼瞼下垂の主な症状としては
🥹 まぶたが重く感じる。
🥹 黒目が半分ほどしか見えていない。
🥹 視野が狭くなった。
🥹 眼が疲れやすくなった。
🥹 おでこに深いしわが増えた。
などが挙げられます。
まぶたが黒目にかかる状況によって、軽度、中等度、重度に分かれます。

原因としては、先天性、加齢性、コンタクト性、外傷性があります。
その中でも加齢性が一番多い原因です。
治療としては、挙筋前転術という方法を用いて、まぶたを上げる筋肉の付着部を強化して、まぶたが開きやすくなるようにします。
その際、たるんでいる皮膚がある場合は同時に切除します。
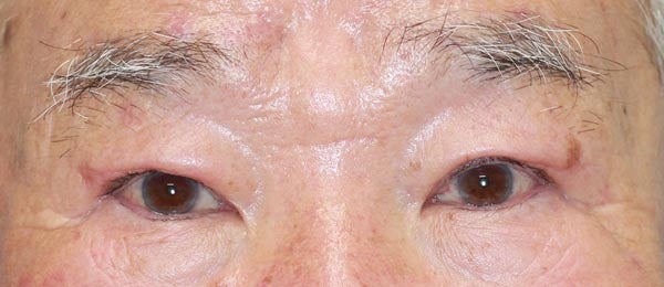
下の症例は
70代の男性で、信号など高い位置がとてもみえにくくて困っていると来院されました。
- 施術前
強度の眼瞼下垂に、皮膚のたるみも多く、手術適応と考え
挙筋前転術と皮膚切除を行いました。
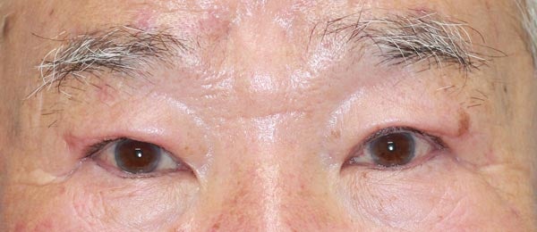
- 施術後半年
術後半年のお写真では、とても眼が開きやすくなっています。
とても生活が楽になりましたと👀、とても喜んでくださいました☺️
術後の腫れは数か月続きますが、だんだん腫れはひいてくると、どの患者さまも表情が明るくなられるので私もとても嬉しくなります☺️☺️
施術・治療眼瞼下垂治療
眼瞼下垂について
眼瞼下垂症の中には、まぶたを開ける筋肉である、眼瞼挙筋の機能は保たれているにもかかわらず、皮膚のたるみが多く、視界の上の方、外側の方が見えにくく
来院される方もおられます。
そのような方は、適切な量の余剰皮膚を切除することで、見やすくなります。
下の症例は 70代の男性です。
運転中、上の信号や視界の外側が見えにくく、頑張って目を大きくあけていると
疲れるとのことで来院されました。
診察上、まぶたをあげる筋肉はよく機能していましたが、上まぶたの余剰皮膚が多く
手術にて切除しました。
- 施術前
- 施術後3週間
術後、楽に目があいて視野が広がりました!👀👍と喜んでおられました☺️
上記のような症状のある方は、診察にて、眼瞼下垂の有無、治療適応の有無等
ご説明できればと思います。
愛媛県新居浜市江口町4-2
ご予約・お問い合わせ
0897-47-8639| 診療時間 | 月 | 火 | 水 | 木 | 金 | 土 |
| 9:00-12:00 | ● | ● | ● | / | ● | ● |
| 14:00-16:00 【手術】 |
● | ● | ● | / | ● | ● |
| 16:00-18:00 | ● | ● | ● | / | ● | ● |
14時から16時は手術を実施しているため、診察は行っておりません。
- 最終受付【午前】11:30 / 【午後】17:30
- 休診日木曜・日曜・祝祭日
- 診療科目形成外科 / 美容皮膚科 / 美容外科










