Blogブログ
施術・治療眼瞼下垂治療
眼瞼下垂について
眼瞼下垂症の中には、まぶたを開ける筋肉である、眼瞼挙筋の機能は保たれているにもかかわらず、皮膚のたるみが多く、視界の上の方、外側の方が見えにくく
来院される方もおられます。
そのような方は、適切な量の余剰皮膚を切除することで、見やすくなります。
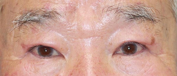
下の症例は 70代の男性です。
運転中、上の信号や視界の外側が見えにくく、頑張って目を大きくあけていると
疲れるとのことで来院されました。
診察上、まぶたをあげる筋肉はよく機能していましたが、上まぶたの余剰皮膚が多く
手術にて切除しました。
- 施術前
- 施術後3週間
術後、楽に目があいて視野が広がりました!👀👍と喜んでおられました☺️
上記のような症状のある方は、診察にて、眼瞼下垂の有無、治療適応の有無等
ご説明できればと思います。
おおにし形成外科クリニック
〒792-0005
愛媛県新居浜市江口町4-2
愛媛県新居浜市江口町4-2
ご予約・お問い合わせ
0897-47-8639| 診療時間 | 月 | 火 | 水 | 木 | 金 | 土 |
| 9:00-12:00 | ● | ● | ● | / | ● | ● |
| 14:00-16:00 【手術】 |
● | ● | ● | / | ● | ● |
| 16:00-18:00 | ● | ● | ● | / | ● | ● |
14時から16時は手術を実施しているため、診察は行っておりません。
- 最終受付【午前】11:30 / 【午後】17:30
- 休診日木曜・日曜・祝祭日
- 診療科目形成外科 / 美容皮膚科 / 美容外科








