Blogブログ
施術・治療しわ・たるみ治療
しわ治療(バニーライン)について
今回は、若い方にも多い鼻の横にできるしわ、バニーラインの治療について
ご紹介させていただきます。
バニーラインとは笑ったときや怒ったときに、目頭から鼻に斜めに入るシワのことです。
加齢によってシワが深くなっていきます🥹
アメリカのウサギのキャラクターに似ていることからバニーラインと呼ばれています。
バニーラインは鼻筋や上唇鼻翼挙筋の収縮によりできます。
鼻根の横シワは怖い印象と老けている印象を与えます🥹
治療は鼻筋と上唇鼻翼挙筋へ、ボトックスを注入します。
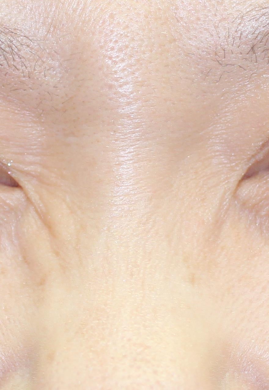
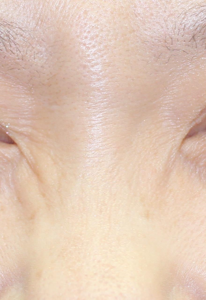
症例は30代の方です。
(※写真では、しわを寄せてもらっています。)
- 注入前
- 注入2週間後
力を入れてもしわが少なくなり、とても満足されておられました👍😂👍
眉間のしわと同様、顔の中心にあるしわは、とても気になる場所だと思います。
おおにし形成外科クリニック
〒792-0005
愛媛県新居浜市江口町4-2
愛媛県新居浜市江口町4-2
ご予約・お問い合わせ
0897-47-8639| 診療時間 | 月 | 火 | 水 | 木 | 金 | 土 |
| 9:00-12:00 | ● | ● | ● | / | ● | ● |
| 14:00-16:00 【手術】 |
● | ● | ● | / | ● | ● |
| 16:00-18:00 | ● | ● | ● | / | ● | ● |
14時から16時は手術を実施しているため、診察は行っておりません。
- 最終受付【午前】11:30 / 【午後】17:30
- 休診日木曜・日曜・祝祭日
- 診療科目形成外科 / 美容皮膚科 / 美容外科








